Irlandês de 57 anos contrai tuberculose rara no pênis; entenda os efeitos

A tuberculose pode atingir praticamente qualquer parte do corpo, mas é extremamente raro que a bactéria infecte o pênis. Ainda assim, foi exatamente isso que aconteceu com um homem, de 57 anos, na Irlanda, em um caso que chamou a atenção da comunidade médica. O relato foi publicado, em 20 de novembro, na revista científica ASM Case Reports.
O paciente procurou um hospital em Dublin, na Irlanda, após uma semana de intensa dor, vermelhidão e inchaço no pênis, acompanhados de febre. A equipe médica o internou imediatamente. Quinze anos antes, ele havia passado por um transplante de rim e fazia uso contínuo de medicamentos imunossupressores, condição que aumenta a vulnerabilidade a infecções.
Exames iniciais sugeriram celulite genital, uma infecção bacteriana comum da pele, e os médicos iniciaram antibióticos convencionais. O quadro, porém, piorou rapidamente, levando o hospital a solicitar uma avaliação especializada em infectologia.
Ao revisar o histórico recente do paciente, os médicos descobriram que ele vinha apresentando, havia três meses, sintomas sistêmicos clássicos de tuberculose: febre persistente, calafrios, sudorese noturna intensa, perda de peso e falta de apetite. Também foi constatado que ele tinha contato frequente com animais mortos, porque o paciente foi criado em uma área rural, trabalhou como açougueiro manipulando carnes de veado e boi e era caçador experiente.
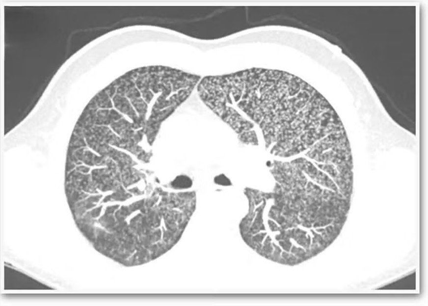
Após análise do conjunto de sintomas, o paciente passou por tomografias do tórax, abdômen e pelve. As imagens revelaram nódulos disseminados nos pulmões, compatíveis com tuberculose miliar, forma grave da doença em que a bactéria Mycobacterium tuberculosis (ou, alternativamente, Mycobacterium bovis, ligada a bovinos e cervos) se espalha pelo organismo, formando pequenas lesões.
/i.s3.glbimg.com/v1/AUTH_fde5cd494fb04473a83fa5fd57ad4542/internal_photos/bs/2025/H/x/AH11UwSkKsQCigTnvrEQ/tb-culture.jpg)
Embora a bactéria possa infectar qualquer órgão, apresentações urogenitais são raras, e casos envolvendo o pênis representam menos de 1% das infecções dessa região. A imunossupressão do paciente, somada à disseminação pulmonar, tornou a hipótese mais plausível. Testes posteriores confirmaram a presença de micobactérias tanto no trato respiratório quanto no tecido peniano.
O tratamento para tuberculose exige um regime prolongado de múltiplos antibióticos. O paciente recebeu uma combinação de quatro medicamentos por 12 meses, formulada para não interferir no funcionamento do rim transplantado. Mesmo assim, a lesão no pênis piorou antes de melhorar, com a formação de uma grande úlcera necrótica, e parte do prepúcio passou por necrose, exigindo remoção cirúrgica do tecido comprometido. Após dez meses, a infecção parecia controlada e a recuperação local foi considerada satisfatória.
As imagens da infecção são um tanto quanto “gráficas” e, por isso, não as mostraremos aqui. Mas, caso esteja curioso o suficiente para vê-las, leitor, o material está disponível no estudo científico, que você pode ler neste link.
Como aconteceu o contágio?
A origem do contágio permanece incerta. O paciente não relatou contato com pessoas com tuberculose nem frequentava ambientes de maior risco, como presídios. Uma possibilidade é que a infecção estivesse relacionada ao rim transplantado, embora essa hipótese seja rara. Outra explicação levantada pelos médicos envolve sua proximidade constante com animais, porque cervos e vacas podem transmitir M. bovis, especialmente durante atividades de caça, abate ou manipulação de carcaças.
Não há certeza se a infecção começou nos pulmões e depois atingiu o pênis ou se ocorreu o contrário. O caso também remete a situações descritas em profissionais que manipulam cadáveres, conhecidos como “verrugas do dissecador”, quando a bactéria penetra pela pele lesionada. Em episódios históricos, inclusive, há registros de transmissão sexual, como um caso britânico de 2001 em que um homem desenvolveu tuberculose peniana e sua parceira apresentou tuberculose uterina um ano depois.
Apesar da raridade e da gravidade da manifestação, o desfecho foi positivo. Segundo os médicos responsáveis pelo estudo, todos os casos publicados de tuberculose peniana até hoje responderam bem ao tratamento, com recuperação completa, incluindo o paciente irlandês, cuja evolução reforça a importância do diagnóstico precoce em apresentações atípicas da doença.
(Por Carina Gonçalves)






